2025年5月9日至11日,美沃斯第二十届国际医学美容大会在杭州国际博览中心盛大召开。这场医美行业的盛会汇聚了全国数千位医美专家、学者、从业者以及行业领袖,共同探讨行业前沿技术、交流临床经验、分享最新研究成果,为医美行业的发展注入了新的活力和动力。
在众多参展企业中,悦芙美携其创新的胶原蛋白基质产品惊艳亮相,吸引了众多参会者的目光,展台前人潮涌动,咨询不断。再生材料成为了备受瞩目的焦点话题之一,而悦芙美的胶原蛋白基质正是其中的杰出代表。

胶原蛋白基质的创新突破
▷悦芙美胶原蛋白基质的研发基于一项重要的科学研究。自组装胶原基质ACM Self-Assembled Collagen Matrix。通过温度、pH环境的控制,使得去端肽胶原重新排列成有序的结构,从而恢复胶原材料的力学性能。负载种子细胞的组织工程支架、胶原自组装基质兼具活性与降解性。

▷第三代注射胶原填充再生材料ACM-终端灭菌、物理交联、固态、无需冷藏:可吸收细胞支架!将生物活性和可降解材料概念结合。第三代再生材料可在分子水平上激活基因、刺激细胞增殖、诱导其组织分化进而构筑成新的组织和器官。负载种子细胞的组织工程支架、胶原自组装基质兼具活性与降解性,在临床中有着显著的再生、修复效果。无需冷链,终端灭菌保障,更安全!
▷100%天然降解,仿生ECM支架结构,可以诱导组织原位再生,兼具胶原自组装基质,具有高活性与降解性,在临床中有着显著的再生、修复效果,可以生成新的血管和神经组织原位有序再生,创造细胞喜爱的微环境,给组织持续提供营养,与自身组织融合,无残留,无炎性反应,不改变组织环境,多次使用组织健康如初。

多功能胶原蛋白基质
▷形态与结构:该支架厚度约1mm,以模仿包括表皮和真皮在内的真实人类皮肤的厚度。经过扫描电子显微镜(SEM)观察,支架显示出高度连通的多孔结构,孔壁表面光滑均匀,具有开放的宏观多孔结构,孔径为132.5±8.4μm,为皮肤细胞的附着和生长提供了理想的三维环境。


▷生物降解性:通过体外酶试验(溶菌酶、透明质酸酶或胶原酶 I)测试了降解速率。溶菌酶在一周内逐渐分解支架,无论是10,000还是30,000U/ml的溶菌酶,经过7天处理后,支架重量分别降至原始重量的38.1±2.6%和36.4±5.1%。使用30U/ml的透明质酸酶时,支架在5天检查后保留了约10.0%,而50U/ml的透明质酸酶则在7天后使支架完全降解。在20U/ml的胶原酶I中浸泡3小时后,支架几乎完全降解,与10U/ml相比,支架保留了约45.0% 的原始重量。这些结果表明该支架具有良好的生物可降解性,且降解过程呈现时间和剂量依赖性。

▷细胞相容性与增殖:为了确保播种在支架中的人体皮肤细胞的细胞相容性,研究使用MTS试验来测试细胞活性。与直接播种在24孔培养板上的原始细胞数量相比,播种在支架中的成纤维细胞(FBs)显示出约80%的附着率。从第1天到第14天,测量了海绵状支架上FBs的活细胞数量,结果显示FBs在支架内的密度增加,并显示出显著的增强,表明支架有利于细胞增殖、分化和存活。从支架的SEM图像中,可以清楚地观察到支架内均匀光滑的结构和开放的宏观多孔表面,而细胞处理后的支架孔壁表面呈现出粗糙和断裂的特征,可能是被FBs降解的。

▷体外单细胞培养和荧光研究:分别在胶原蛋白/HA/明胶支架中培养人体角质形成细胞(KCs)、黑色素细胞(MCs)和成纤维细胞(FBs),并在荧光显微镜下观察荧光染色后的结果。为了检测皮肤细胞的分布,在播种到支架之前用PKH67对细胞进行染色,结果显示三种细胞在胶原蛋白/HA/明胶支架的存在下均正常增殖,证实了这些材料对细胞生长的益处,且支架具有适合人体KCs、MCs和FBs生长的适当孔径和吸水能力。

▷皮肤等效物石蜡切片的免疫荧光:研究构建了一个三维人体皮肤等效物的共培养系统,通过在预先播种FBs7天的支架上播种KCs和MCs,再将共培养的细胞再培养7天后进行垂直切片,并用免疫荧光试剂染色,在荧光显微镜下观察。结果显示表皮KCs和MCs分布在上方,而真皮FBs出现在底部,成功模拟了真实人类皮肤的生理条件,证明了该支架在构建皮肤模型方面的潜力。

▷胶原蛋白定量:使用Sirius Red染料测量在培养皿或支架上进行共培养的三种细胞所产生的胶原蛋白。结果表明在培养皿中,播种MCs和KCs与FBs后,在第14天胶原蛋白数量明显增加。在支架中,FBs播种7天后,胶原蛋白明显增加,再播种MCs和KCs并继续培养7天后,其增加量显著高于培养皿中的情况。特定胶原蛋白量的测量结果显示,在第7天和第14天,支架中的特定胶原蛋白产量均高于培养皿,表明支架不仅促进了细胞增殖,还增强了单个细胞的胶原蛋白制造能力,这对于皮肤伤口愈合和组织工程具有重要意义。

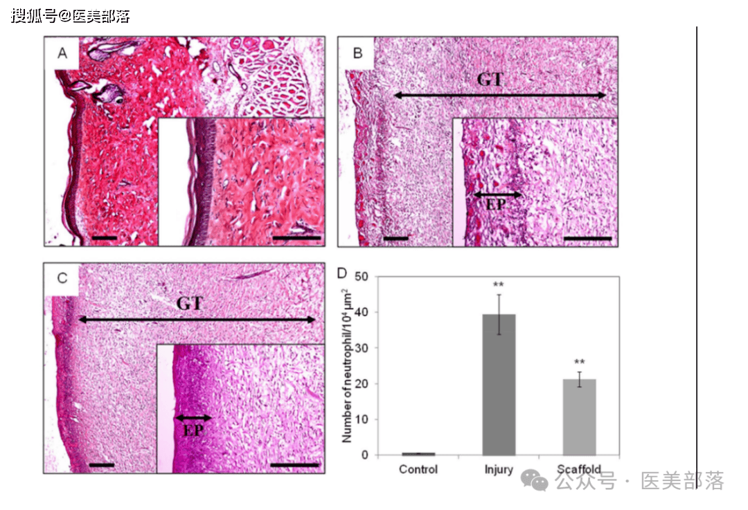
▷伤口大小评估:通过体内全层伤口模型评估支架的伤口愈合效率,并通过切除伤口面积图像分析进行量化。随着时间的推移,损伤组和治疗组的伤口面积均缩小,但在整个观察期内,治疗组的伤口面积始终小于损伤组。在受伤后第10天,损伤组的伤口面积为原始面积的41.8±5.3%,而支架治疗组的伤口面积仅为24.0±2.1%,实现了超过50%的伤口闭合,并在10天内达到75%的伤口闭合,表明治疗组的体内伤口缩小速度更快,治愈能力更强。

▷体内组织学研究:H&E染色的皮肤切片组织学检查显示了对照组(无损伤)、无损伤组和支架治疗组的肉芽组织。支架组的表皮比损伤组更致密,证明支架促进了皮肤修复。与损伤组相比,支架治疗组的中性粒细胞浸润较少,表明该支架通过减少中性粒细胞和过度炎症反应来辅助并加速伤口闭合率,减少中性粒细胞浸润和促进再上皮化,加速愈合过程。
专家认可与行业关注
▷李渊院长指出,悦芙美胶原蛋白基质不仅能增加真皮的厚度与张力,恢复皮肤的平整性,解决松弛、皱纹及暗沉等问题,更重要的是,它能够促使成纤维细胞合成再生自身胶原蛋白、弹性蛋白及细胞外基质成分,恢复皮肤的弹性及光泽,重塑ECM从而实现真正的再生。


▷同济大学整形外科崔海燕教授、洪伟教授、中国非公立医疗机构协会整形与美容专业委员会候任主任委员兼秘书长石冰教授等多位行业专家也亲临悦芙美展台,驻足了解产品核心技术,并给予了高度评价。



再生材料新趋势
▷未来,再生材料的发展将聚焦于完美再生材料的探索。理想的再生材料不仅能滋养神经血管,还能在不依赖炎性刺激的情况下实现胶原再生,从源头上避免炎症反应可能带来的风险和副作用,为医美领域带来更安全、更有效的解决方案。




▷美沃斯第二十届大会的成功举办为全球医美行业提供了一个交流合作的优质平台,也让悦芙美有机会向更多的人展示其在再生材料领域的创新实力和卓越品质。悦芙美将继续致力于研发和创新,为医美行业的发展贡献更多力量。


悦现生机·美若琉璃