在医美填充领域,“自然原生”与“长效维持”已从营销口号转变为消费者选择治疗的核心考量。随着审美理念的理性化与信息获取的便捷化,求美者愈发青睐“微调式抗衰”与“妈生感”美学,拒绝虚假肿胀和频繁补打。这一趋势推动注射材料从早期的单纯物理填充迈向以“再生美学”为主导的新阶段,行业也正处于从“填充时代”向“再生时代”的关键转型期。

在这样的背景下,“微球”作为胶原再生的核心发动机,其技术演进成为影响医美填充效果的关键因素。从早期的惰性材料到新一代的再生材料,四次技术迭代本质上是对“效果与安全”的持续优化。
医美填充常见困扰
从注射材料进化史看“微球”的关键作用
不少求美者在填充治疗后曾遭遇肿胀不消、形态移位、效果短效等问题,这些困扰的根源往往与注射材料的核心成分 ——“微球”(胶原再生的关键载体)密切相关。医美注射材料的发展历程,本质是对 “微球性能” 的持续优化,至今已历经四次重要迭代:
第一代:惰性填充材料(硅油、奥美定)——已全面淘汰
此类材料无 “微球” 设计,仅通过 “物理占位” 实现填充效果,但无法被人体代谢,远期易引发炎症、组织粘连等并发症,不符合现代医美 “安全可逆” 的标准,目前正规医疗机构已全面禁用。
第二代:传统活性材料(交联透明质酸钠)——基础填充选择
以透明质酸为核心,无 “微球” 成分,凭借即时填充效果与良好组织相容性成为市场主流。但其受限于体内降解特性,效果维持周期仅 6-12 个月,需反复注射;部分产品还存在注射后透光、局部肿胀等问题,难以满足对 “长效精致” 有需求的消费者。
第三代:早期再生材料(片状 / 抛光微球冻干粉)——技术探索阶段
首次引入 “微球” 作为胶原再生载体,实现从 “单纯填充” 到 “组织再生” 的突破。
片状不规则微球冻干粉:初步实现从“惰性物理填充”到“刺激胶原再生”的转变,实现 “胶原再生” 突破,延长维持时间。


图|某片状PLLA微球在电镜和显微镜下的展示
抛光微球冻干粉:工艺革新,微球形态优化为圆形,改善微球分布均匀性,实现胶原类型有序转化将III型胶原升级至 Ⅰ 型胶原。


图|某CaHa微球在电镜和显微镜下的展示
即用型复合凝胶:即开即用,无需复配,突破冻干粉局限性,满足凝胶即时填充 + 微球长效再生的双效协同。


图|某CaHa微球和某PCL微球在电镜下的展示
第四代:新一代再生材料(BOND-H 技术微球凝胶)——技术成熟阶段

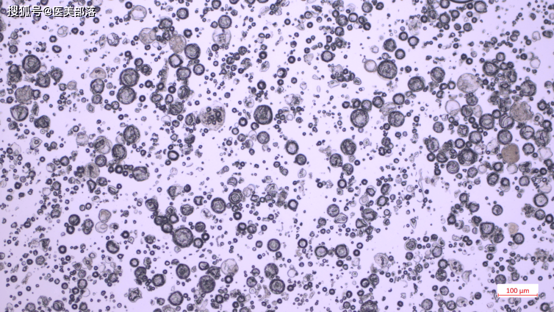
图|PLLA-b-PEG微球在电镜下的展示
随着 BOND-H 氢键桥联超融合技术的研发应用,“微球” 性能实现质的突破:通过分子间氢键作用,使 PLLA-b-PEG 微球与透明质酸钠凝胶形成稳定互穿网格,具备微球均匀分布、相容性优、即时与长效效果兼顾的优点,成为当前再生材料领域的主流选择。
· 核心提示:优质 “微球” 的三大评判标准
从材料迭代史不难看出,“微球” 的性能直接决定再生效果,消费者选择时可重点关注三点:形态规则(圆形为佳,减少组织刺激)、分散均匀(避免聚集形成结节)、固定稳定(不易移位,保障形态自然)。
BOND-H 技术的核心优势:
重新定义再生填充效果
作为新一代再生材料的核心技术,BOND-H 氢键桥联超融合技术通过创新的分子设计,为胶原再生创造 “黄金环境”,实现 “即时美学效果” 与 “长效安全维持” 的双重平衡:
优势一:分层适配,精准满足不同部位再生需求
通过调控氢键作用力,BOND-H 技术可构建适配面部不同组织层次(骨膜层、筋膜层、真皮层)的仿生胶原网格。
优势二:稳定分散,有效规避安全风险
传统再生材料的主要安全隐患的是微球聚集与材料移位,而 BOND-H 技术通过 “微球 – 凝胶互穿网格” 设计,微球分散均匀度提升 ,网格结构可牢牢锁定材料位置,避免注射后移位。
“三生三式” 产品系列
按需选择,匹配个性化抗衰需求
BOND-H 技术目前主要应用于 “三生三式” 再生产品系列,三款产品针对面部不同抗衰需求进行差异化设计,形成全场景覆盖:
濡白天使:立体塑型

如生天使:紧致提升

如生熊猫:眶周抗衰

消费者选购指南
三步科学选择再生材料
面对多样的再生材料产品,消费者可通过以下三步,精准匹配需求,规避治疗风险:
第一步:看微球性能
优先选择形态规则、分散均匀的圆形微球产品,避免选择片状或易聚集的微球材料,减少术后红肿、结节等风险。
第二步:查核心技术
关注产品是否采用如 BOND-H 这样的稳定技术,确保微球与凝胶结合紧密,不易移位,保障治疗效果的稳定性与持久性。
第三步:对自身需求
根据抗衰目标选择对应产品:立体塑型选濡白天使,提升紧致选如生天使,眼周抗衰选如生熊猫,避免 “盲目跟风” 选择不匹配的产品。
医美新突破
从 “技术探索” 进入 “成熟应用”
随着医美技术的不断发展,再生材料已从 “技术探索” 进入 “成熟应用” 阶段。BOND-H 技术的出现,不仅解决了传统材料的诸多痛点,更通过 “三生三式” 产品系列,为消费者提供了个性化的抗衰方案。消费者在选择时,可结合 “微球性能、核心技术、自身需求” 三大维度,科学决策,在实现 “自然长效” 抗衰效果的同时,保障治疗安全。

扫描二维码,即可了解更多相关信息!